Digital Full-Arch Implant

디지털 전악 임플란트

전악 임플란트는 기본적으로 대부분 또는 

모든 치아를 상실한 무치악 환자에게 시술합니다.

치료 개요

100% 디지털 방식으로 진행되는 
전악 임플란트
치료 대상

무치악 환자 (치아 대부분/전체 상실)
소요 기간

상악은 5~6개월 
하악은 3개월 정도의 유착 기간이 필요 
(치료 케이스에 따라 다를 수 있음)

           Digital Full-Arch Implant

진단부터 식립까지 전 과정 

100% 디지털 방식으로 진행

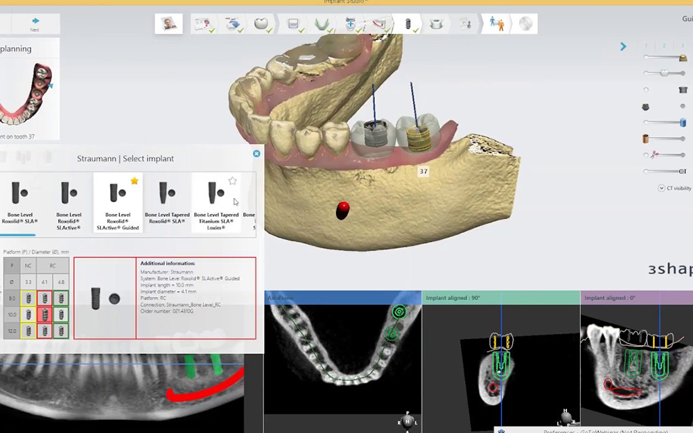
3D CT, 디지털 구강 스캔 등 다양한 방식으로 얻은 데이터로 모의 시술을 진행한 후, 맞춤 제작한 수술 가이드를 통해 더 정확하고 안전하게 임플란트 식립이 가능합니다.


Digital Full-Arch Implant Process


디지털 전악 임플란트 과정

STEP 01


진단 및 치료 계획 수립

3D 스캐너 + 3D CT + 임플란트 시뮬레이터 등 다양한 장비를 통해 환자의 구강구조와 안면을 전체적으로 분석합니다. 


이후 환자분께 알맞는 방식에 대해 상담을 진행합니다.


STEP 02


임플란트 시뮬레이션

수집/측정된 구강구조를 프로그램을 통해 3D로 재현하고, 이를 통해 수술 방식, 식립 위치, 높이, 교합 등 모든 요소를 고려합니다. 


이후 여러 차례 시뮬레이션 한 후, 신속하고 정확한 수술이 가능합니다.


STEP 03


임플란트 식립 진행

최종 결정된 데이터를 통해 임플란트 가이드를 맞춤 제작하고, 이를 통해 최대한 적은 절개로 식립을 진행합니다. 


전악 임플란트의 경우 한 면(상/하악) 당 4~6개의 식립이 필요합니다.


STEP 04


최종 보철물 장착

환자에 따라 맞춤 제작된 풀아치 보철물을 식립한 임플란트에 결착함으로써 전악 임플란트를 마무리합니다.

Digital Full-Arch Implant Caution


디지털 전악 임플란트 주의사항

질기거나 딱딱한 음식 금물


잇몸뼈가 회복되는 기간 동안 

질기거나 딱딱한 음식은 피해주세요.

치료 후 관리의 중요성


임플란트 식립 후 관리에 소흘할 경우 

추가적 치료가 필요할 수 있습니다.

잇몸 뼈 유착 기간 관련


임플란트/잇몸뼈 유착에 걸리는 시간에 따라 

치료 시간이 길어질 수 있습니다.

치료 후 관리의 중요성


임플란트 식립 후 관리에 소흘할 경우

추가적 치료가 필요할 수 있습니다.

빨리 내원해야 하는 경우


보철물이 흔들리거나 빠진 경우, 

최대한 빠른 시일 내로 내원해주세요.

            Digital Full-Arch Implant

디지털 전악 임플란트

전악 임플란트는 기본적으로 대부분 또는 모든 치아를 상실한 무치악 환자에게 시술합니다.

     시술 개요

100% 디지털 방식으로 진행되는

전악 임플란트

     치료 대상

무치악 환자 (치아 대부분/전체 상실)

      소요 기간

상악은 5~6개월

하악은 3개월 정도의 유착 기간이 필요

(치료 케이스에 따라 다를 수 있음)

mobile background


            Digital Full-Arch Implant

진단부터 식립까지 전 과정

100% 디지털 방식으로 진행

3D CT, 디지털 구강 스캔 등 다양한 방식으로 얻은 데이터로

모의 시술을 진행한 후, 맞춤 제작한 수술 가이드를 통해

더 정확하고 안전하게 임플란트 식립이 가능합니다.


mobile background

Digital Full-Arch Implant Process


디지털 전악 임플란트 과정

            STEP 01

진단 및 치료 계획 수립

3D 스캐너 + 3D CT + 임플란트 시뮬레이터 등 다양한 장비를 통해

환자의 구강구조와 안면을 전체적으로 분석합니다.


이후 환자분께 알맞는 방식에 대해 상담을 진행합니다.


            STEP 02

임플란트 시뮬레이션

수집/측정된 구강구조를 프로그램을 통해 3D로 재현하고,

이를 통해 수술 방식, 식립 위치, 높이, 교합 등 모든 요소를 고려합니다.


이후 여러 차례 시뮬레이션 한 후, 신속하고 정확한 수술이 가능합니다.


            STEP 03

임플란트 식립 진행

최종 결정된 데이터를 통해 임플란트 가이드를 맞춤 제작하고, 

이를 통해 최대한 적은 절개로 식립을 진행합니다.


전악 임플란트의 경우 한 면(상/하악) 당 4~6개의 식립이 필요합니다.


            STEP 04

최종 보철물 장착

환자에 따라 맞춤 제작된 풀아치 보철물을 식립한 임플란트에 

결착함으로써 전악 임플란트를 마무리합니다.

mobile background

Digital Full-Arch Implant Caution


디지털 전악 임플란트 주의사항

질기거나 딱딱한 음식 금물

- 잇몸뼈가 회복되는 기간 동안 질기거나 딱딱한 음식은 피해주세요.

치료 후 관리의 중요성

- 임플란트 식립 후 관리에 소흘할 경우 추가적 치료가 필요할 수 있습니다.

잇몸 뼈 유착 기간 관련

- 임플란트/잇몸뼈 유착에 걸리는 시간에 따라 치료 시간이 길어질 수 있습니다.

치료 후 관리의 중요성

- 임플란트 식립 후 관리에 소흘할 경우 추가적 치료가 필요할 수 있습니다.

빨리 내원해야 하는 경우

- 보철물이 흔들리거나 빠진 경우, 최대한 빠른 시일 내로 내원해주세요

진료시간

일                  09:00~18:00 

목요일                  09:00~20:00 (야간진료)
토요일                  09:00~14:00

대표번호

031-552-2875 

전화 상담을 통해서 보다 신속하고 

빠른 예약 상담을 진행하실 수 있습니다.

진료시간

일                09:00 ~ 18:00

목요일                09:00 ~ 20:00 (야간진료)

토요일                09:00 ~ 14:00

대표번호

031-552-2875

전화 상담을 통해서 보다 신속하고 

빠른 예약 상담을 진행하실 수 있습니다.

연세미소미함치과


대표 : 김명균 | 사업자등록번호 : 505-93-28771 

경기도 남양주시 진접읍 해밀예당1로 30-25 

(남양주 백병원 건물 3층) 


Since 2014, Copyright 2024. 연세미소미함치과. All rights reserved.


이용약관    개인정보처리방침   비급여 안내

연세미소미함치과


대표 : 김명균   |   사업자등록번호 : 505-93-28771 

경기도 남양주시 진접읍 해밀예당1로 30-25 (남양주 백병원 건물 3층)


Since 2014, Copyright 2024. 연세미소미함치과. All rights reserved.